We are Experts in
General Dentistry
We are Experts in
Cosmetic Dentistry
We are Experts in
Paediatric Dentistry
Skilled Hands. Caring Approach.
Dr. Anirudhha Mondal
BDS, Aesthetic Dental surgeon
Dental Department, Petals Health
At Petals Dental, we believe your smile is one of your greatest assets - and we're here to protect it. Dr. Anirudhha Mondal and the Petals dental team are dedicated to delivering care that is clinically precise, genuinely comfortable, and tailored to every patient. Whether it's a routine clean-up or a complete smile makeover, we follow internationally trusted and ethical dental protocols at every step.
Expertise
Advance Rotary RCT Specialist
Smile Design
Aligner Specialist
Full Mouth Rehab Specialist
Operating Hours
7:30 AM - 7:30 PM
Monday to Saturday
Whatever Your Teeth Need
We've Got It Covered
Routine Check-Up & Cleaning
Prevention is better than cure. Regular professional cleanings and examinations keep decay, gum disease, and bigger problems away.
Learn MoreRoot Canal Therapy
Don't let tooth pain run your life. We treat infected or damaged pulp with precision - eliminating pain and saving your natural tooth.
Learn MoreCrowns, Bridges & Implants
Missing or damaged teeth? We restore full function and natural appearance with durable, long-lasting restorations.
Learn MoreFull-Mouth Rehabilitation
For complex or multiple dental conditions, we design a complete treatment plan to restore your smile, bite, and confidence - top to bottom.
Learn MoreBraces & Invisalign
Straighter teeth, more confident you. Choose from traditional metal braces or discreet clear aligners to achieve a perfectly aligned smile.
Learn MoreSmile Designing & Veneers
A fully personalised approach - teeth whitening, porcelain veneers, gum contouring and more - to craft the exact smile you've always wanted.
Learn MoreWhy Choose Petals Dental
Precision You Can Feel. Results You Can See.
A Clinic Built Around
Your Comfort & Safety
Digital X-Ray Suite
Our modern digital X-rays emit up to 90% less radiation than traditional X-rays - fast, safe diagnostics for patients of all ages.
Fully Sterilised Treatment Rooms
Hospital-grade sanitisation at every step. Every instrument and surface follows strict sterilisation protocols before every patient.
Intraoral Scanning Technology
No messy traditional moulds. Our precision 3D intraoral scanners capture accurate impressions for better-fitting crowns, aligners, and restorations.
Sedation Dentistry
Dental anxiety is real � and we take it seriously. We offer sedation options to make every procedure completely painless and stress-free.
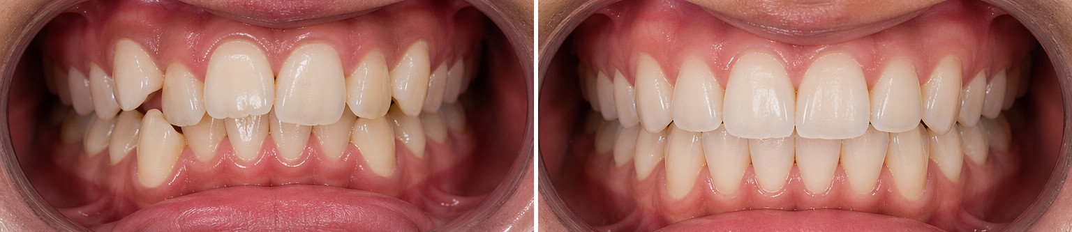
Proven Outcomes
Healthier Lives
Every smile you see here belongs to a real Petals Dental patient - treated with care, precision, and zero compromise. This is what good dentistry looks like.
Your Best Smile Is
One Appointment Away
Whether it's been months since your last check-up or you've been quietly putting off that root canal � our team at Petals Dental is ready when you are. Expert care. Honest pricing. Zero judgment.
What Patients Say?
Testimonial
Frequently Asked Questions
- A Unit of Petals
CMC: Maruti Building,
1st Floor, 12, Loudon Street,
Opp: Bellevue Hospital,
Kolkata - 700017
Monday to Saturday : 07:30 AM - 07:30 PM
CMC: 1st Floor, Vip Complex
P-30/1, Kankurgachi Road,
Opp: Pantaloons,
Kolkata - 700054
Monday to Saturday : 07:30 AM - 07:30 PM
CMC: Moore Heights. Moore Avenue,
93, Manick Bandopadhyay Sarani,
Near: Malancha Cinema Hall,
Kolkata - 700040
Monday to Saturday : 07:30 AM - 07:30 PM
